Beautynet.ru - о красоте и хорошем вкусе

Назад Начало

Эпилепсия - можно ли вылечить «одержимость»?

12.11.2009 16:00

Эпилепсия Те, кому приходилось хоть раз в жизни видеть приступ эпилепсии, согласятся, что зрелище не из приятных. Именно этот приступ и является основным диагностическим признаком такого заболевания, как эпилепсия. Об эпилепсии человечество знало с самых давних времён, и общественное отношение к таким пациентам было разным. Так, древние греки искренне полагали, что во время эпилептического приступа человека посещает божественный дух или ангелы, а потому эпилептики в Древней Греции считались чуть ли не посредниками между богами и простыми смертными. А вот наши славянские предки, наоборот, были уверены, что в человеке начинают буйствовать вселившиеся в него бесы. И поэтому исправить положение пытались исключительно с помощью служителей церкви.

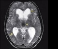
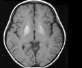
Однако, несмотря на столь давнее «знакомство», механизм развития эпилепсии до конца ещё не выяснен. Однозначно можно утверждать, что причина появления заболевания кроется в органическом поражении определённых мозговых структур. Изучение клеток мозга больного эпилепсией показало их разрушение, деформацию и наличие патологических включений, что было характерно лишь для строго определённых участков центральной нервной системы. Эти патологически изменённые мозговые структуры получили название эпилептических очагов. Оказалось, что, в зависимости от локализации эпилептических очагов заболевание может протекать по-разному. Так, при дислокации в затылочной зоне незадолго до начала приступа на пациента может нахлынуть волна зрительных галлюцинаций, в то время как при расположении в височной доле мозга нередко перед приступом человек слышит несуществующие голоса, чьи-то крики и т.п. Все эти проявления предшествуют самому приступу и называются аурой эпилептического припадка. В качестве ауры выступают также чувство присутствия мурашек на коже, различные запахи (чаще неприятные), неконтролируемая двигательная или речевая активность и т.д. В отличие от самого приступа, аура хорошо запоминается пациентом, и в случае её появления он с высокой долей вероятности может судить о начинающемся припадке.

 

Кроме ауры, для симптоматики эпилепсии характерны и так называемые предвестники приступа. Они обычно появляются за сутки (иногда за несколько часов) перед началом припадка, что выражается слабостью, сонливостью, иногда головной болью, состоянием повышенной тревоги. Появление этих признаков позволяет пациенту подготовиться к приближающемуся приступу и избежать серьёзных травм. Ведь начало приступа уже не даст такой возможности, поскольку пациент сразу же падает из-за мгновенной потери сознания, после чего у него тут же начинаются судороги. Сначала эпилептические судороги носят исключительно тонический характер, при котором все мышцы резко напрягаются, зубы стискиваются, руки и ноги принимают полусогнутое положение. Кожа становится синюшной. Через две – три минуты тонические судороги сменяются клоническими, когда больного начинает «трясти». При этом следует резкое и быстрое сокращение и расслабление практически всех групп мышц, в том числе и сфинктеров, из-за чего при эпилептическом приступе нередко происходит непроизвольное мочеиспускание или дефекация. По окончании судорог больной впадает в ступорозное состояние, и лишь спустя несколько минут сознание начинает постепенно проясняться.

Однако в некоторых случаях эпилепсия может протекать и без судорог.

Чаще всего эпилепсия является врождённым заболеванием, которое сформировалось либо в результате внутриутробных патологических изменений, либо вследствие родовой травмы черепа. Большую роль играет также отягощённая наследственность. При этом эпилепсия проявляется далеко не сразу, а лишь ближе к периоду полового созревания. В дальнейшем эпилептические приступы становятся всё чаще. Однако эпилепсия может быть полученной уже при жизни. Причинами развития приобретённой эпилепсии являются черепно-мозговая травма, воспаление мозговых тканей, ишемические поражения мозга, отравление нейротоксическими веществами и т.п.

Как правило, правильное и адекватное лечение позволяет вернуть больного к активной общественной жизни, хотя для этого понадобится несколько лет. Отсутствие же лечения может закончиться так называемым эпилептическим статусом, при котором приступы следуют один за другим, практически не давая пациенту возможности вернуться в сознание. Такое состояние нередко заканчивается трагически.

Жигула Андрей